An Overview of Cervical Deformity
The neck is extremely flexible. This flexibility often puts the neck at risk for injury. Some injuries (such as a dislocation or fracture) can create a spinal deformity within the cervical canal.
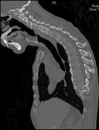
A cervical deformity shows itself as an abnormal curve or angulation in the normally smoothly curved neck. The cause is degenerative facet or disc disease at multiple levels.
The normal neck alignment in the front to back view should be straight up and down and from the side, should display a backwards curve called a lordosis. The lordosis is caused by the trapezoidal shape of the discs. The bodies of the vertebra are square and stacking them up on top of each other without the discs and facets would form a straight tower.
If the discs or facets break down (and they normally do), but break down asymmetrically, an abnormal alignment occurs. If this breakdown occurs at only one level, the malalignment rarely causes an abnormal curve. If this breakdown occurs at multiple levels, a deformity of the spine will result. One level’s abnormal angulation will add to the abnormal angulation above and below to cause a scoliosis or a cervical kyphosis (a loss of curve in the neck compared to the natural lordosis). These conditions appear as a curvature of the neck and are neck deformities that cause neck pain and instability.
Are you suffering from symptoms of Cervical Deformity?
Would you like to consult with Dr. Corenman about your condition?
 You can set up a long distance consultation to discuss your
 current X-rays and/or MRIs for a clinical case review.
(Please keep reading below for more information on this condition.)
Symptoms of Cervical Deformity
A cervical deformity may cause a curvature of the neck that causes the head to be held in an unusual posture when the neck is in a “relaxed” position. Muscle contraction is needed to hold the head in a normal position with chin neutral and eyes level. Chronic muscle contraction causes a dull crampy type of neck pain that is relieved with lying down.
Pain from neck deformities such as cervical kyphosis, as well as from degenerative conditions, can occur in each segment. That is-a bad disc or facet can cause nerve compression, disc pain, instability, degenerative spondylolysthesis as well as central stenosis and myelopathy (see each section for description of that disorder).
Treatment of a Cervical Deformity
Non-Surgical
Standard conservative treatment for a cervical deformity includes physical therapy, Chiropractic treatment, medications, home traction, massage and injections when necessary.
Surgical
There are many spine surgeries available today; surgical treatment depends upon the size of the cervical deformity present and what the underlying cause of neck pain is. It may be that the deformity by itself is not causing pain and it is a simple matter to fix a herniated disc or bone spurs compressing a nerve root. If deformity surgery is necessary, the surgery may be performed strictly from the front (an ADCF), from the back (a posterior fusion) or from both sides (a 360).
For more information on curvature of the neck and cervical deformity, or for additional resources on orthopedic spine surgery, please contact Dr. Donald Corenman, neck doctor and spine specialist in the Vail, Aspen, Denver and Grand Junction, Colorado area.
 
			
					