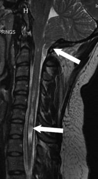
Stabilizing Ligaments of the Upper Cervical Spine (Occiput-C2)
What is the Atlanto-Occipital Joint? The atlanto-occipital joint (O-C1) is formed by the occipital condyles and the upper articular facets of C1. These paired joints each look like a saddle and both are stabilized [...]





