An Overview of Back Pain in the Child Athlete
Children generally do not complain of back pain. When this complaint is heard, the initial impulse is to have the child “run it off”. Many times, low back pain in children and back pain in the child athlete may generate from overuse syndrome or a strain within the back; causes of back pain in kids could also be from a sprain of the lower back. Overuse is the temporary internal disruption of the contracting proteins (actin and myosin) in the muscle that creates the “soreness” we all know from performing an activity that we have not participated in for a while. A strain is a small tear of a muscle or tendon and a sprain is a small tear of a ligament. (A ligament is a tough fibrous structure that connects bone to bone like an ACL- anterior cruciate ligament in the knee).
All of these conditions of the spine are generally benign and symptoms will disappear with time and rest and often, back pain exercises (2-4 days for overuse, 3-4 weeks for a strain and 6-8 weeks for a sprain). There are, however, complaints of low back pain in children that do not disappear or only recede if the sporting activity is halted. The return to sports recreates the pain. In addition, if the adolescent is not questioned regarding the presence of pain, some individuals will not report pain for fear of being removed from competition.
Causes of Back Pain in the Child Athlete
There are three conditions that need to be diagnosed if lower back pain is present for some time or if a child demonstrates “favoring behavior” (antalgia) while competing. These are Scheuermann’s disorder, isthmic spondylolysis, and degenerative disc disease with or without a disc herniation within the spine.
We must first describe the anatomy of the lower back for the understanding of these causes of back pain in the child athlete. The lumbar vertebra is shaped with a large body in the front to carry the loads of the chest and head and transfer the load to the disc. The disc is sandwiched in between the two vertebrae and is the shock absorber of the spine. The projections out of the back of the vertebra (the pedicles and lamina) contain the facets, the “doorstops” that hook one vertebra onto its neighbors above and below. These facets act like train tracks to guide the motion of the vertebrae.
In children and adolescents, there are open growth plates on the top and bottom of the body of the vertebra. These growth plates (there are two) are like the tops and bottoms of an Oreo cookie with the main body of the vertebra sandwiched in between these growth plates the crème filling. The growth plates are attached to the bone of the body of the vertebra by cartilage, which is not as strong as bone.
Scheuermann’s Disease
The first disorder we will discuss is Scheuermann’s disease. These spinal disorders in children involves the growth plates; when they are not as strong as normal, they can fragment and fracture under load. These spine fractures in children are painful. The pain tends to be the upper portion of the lower back (six inches above the belt line) and the spine region behind the chest area (thoracic spine). Adolescents that overload these growth plates typically play in sports that significantly compress the spine and can lead to a fracture in the spine. Examples are football, wrestling, weight lifting, bump skiing and gymnastics. Many times, rest and bracing can allow the fractures to heal. There are some special cases where the spine deforms; spinal disorders in children, and deformities, are sometimes due to wedging of the vertebra.
Isthmic Spondylolysis
The second condition which is one of the causes of back pain in kids is isthmic spondylolysis. Unlike Scheuermann’s disorder, this condition normally occurs in the lowest level of the spine at L5-S1 (at the beltline). Isthmic spondylolysis is estimated to be found in one of every twenty adolescents. This disorder occurs with sports that require repeated extension (bending backwards) like gymnastics, football, tennis, diving and wrestling. Repeated backwards bending stresses the area of the spine called the pars interarticularis (Latin for “area between the joints”).
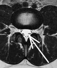
The bone fatigues from too much bending back and forth and does not have time to heal before the next round of activities again stresses the area (which can cause or worsen a fracture(s) in the spine). This is similar to taking a wire coat hanger and bending it up and down until the metal fatigues and breaks. This break may be found only on one side or on both sides. Catching this impending fracture early before the bone actually breaks makes treatment easier and more successful. If the bones fracture on both sides, treatment is more difficult and surgery may be in order. A fracture in the spine can be very painful and an x-ray or an MRI would be necessary to properly diagnose the condition.

(Click to Enlarge Image) This is an illustration of the side view of the vertebrae. You can see the large body of the vertebra in front separated by the disc and the facets in back connected by the pars interarticularis.

(Click to Enlarge Image) This is an illustration of a juvenile spine with open growth plates on the top and bottom of the vertebral body.

(Click to Enlarge Image) Scheuermann’s disease- note irregular endplates (small arrows) and wedged vertebra (large arrow).
Disc Injuries
Other spinal disorders in children that are not as commonly discussed, include disc injuries. Most people think of degenerative disc disease as an adult problem. This is where genetics plays a big role. Disc wall tears can strike in this age group. Back pain occurs and is located in the lower back (around the belt line). Diagnosis can lead to treatment that can manage the pain. If the degenerative disc disease progresses, it can lead to a disc herniation.
Disc herniation in an adolescent can occur in two ways, through a standard tear in the disc wall (a herniated disc) or through a fracture of the endplate of the vertebra. Just like in Scheuermann’s disease, the growth plate in the adolescent is still open. As stated before, the area of attachment of the growth plate to the vertebra is somewhat weak and a stress riser. The disc wall may not tear in its substance but may fracture off a piece of its insertion leaving a bony mass in the canal.
Interestingly, children and adolescents with disc herniations that compress nerves normally do not develop leg pain. This has to do with the resilience of the nerves in the adolescent. Pain is typically found in the back but can radiate down to the buttocks and possibly the upper thigh. Early diagnosis is helpful to return the child to sports and back pain exercises are usually recommended to help strengthen the muscles within the back and ease pain.
Please contact Dr. Donald Corenman, spine surgeon and back doctor in the Vail, Aspen, Denver and Grand Junction, Colorado area, for additional information and resources on back pain in the child athlete, spinal disorders in children, and other conditions that may cause low back pain in children.


